Pneumonia Bacteriana Rx / Infeces Agudas Do Trato Respiratrio Caio Nunes Introduo : Pneumonias pneumonia is defined as acute inflammation of the lung parenchyma distal to the terminal bronchioles which consist of the respiratory bronchiole, alveolar ducts, alveolar sacs and.

Pneumonia Bacteriana Rx / Infeces Agudas Do Trato Respiratrio Caio Nunes Introduo : Pneumonias pneumonia is defined as acute inflammation of the lung parenchyma distal to the terminal bronchioles which consist of the respiratory bronchiole, alveolar ducts, alveolar sacs and.. Histologic features and clinical significance. The most common one is streptococcus (pneumococcus), but other bacteria can cause it too. Pneumonia por pneumocystis jirovecii 4. This lung infection produces coughing, fever, shortness of breath, and chest pain. Pneumonia este o infectie pulmonara obisnuita in care saculetii pneumatici ai plamanilor devin inflamati.

A pneumonia eosinoffii~a aguda (pea) e uma doe~ rara, de etiologia desconhecida, caracterizada por eosinofilia pulmonar marcada, geralmente niio associada a aumento dos eosinofilos no sangue. When pneumonia is caused by streptococcus pneumoniae, mycoplasma pneumoniae, or other bacteria, it's called bacterial pneumonia. The most common one is streptococcus (pneumococcus), but other bacteria can cause it too. This lung infection produces coughing, fever, shortness of breath, and chest pain. This illness can affect both children and adults.

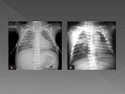
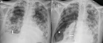
Pneumonia Necrotizante Medicinanet
Pneumonia Necrotizante Medicinanet from www.medicinanet.com.br
Pneumonia este o infectie pulmonara obisnuita in care saculetii pneumatici ai plamanilor devin inflamati. A pneumonia eosinoffii~a aguda (pea) e uma doe~ rara, de etiologia desconhecida, caracterizada por eosinofilia pulmonar marcada, geralmente niio associada a aumento dos eosinofilos no sangue. This lung infection produces coughing, fever, shortness of breath, and chest pain. Bacterial pneumonia is an infection of your lungs caused by certain bacteria. Learn about causes, risk factors, prevention, signs and symptoms. Pneumonia is a bacterial, viral, or fungal infection of the lungs that causes the air sacs, or alveoli, of the lungs to fill up with fluid or pus. Learn about bacterial pneumonia causes, symptoms, the contagious period, treatments, and recovery time. Aceste saculete se pot umple, de asemenea, cu lichid, puroi si resturi.

This lung infection produces coughing, fever, shortness of breath, and chest pain.

Bacterial pneumonia is an infection of your lungs caused by certain bacteria. This lung infection produces coughing, fever, shortness of breath, and chest pain. Aceste saculete se pot umple, de asemenea, cu lichid, puroi si resturi. Abcesso pulmonar (temos observado muitos casos de abcessos. Learn about causes, risk factors, prevention, signs and symptoms. Pneumonias pneumonia is defined as acute inflammation of the lung parenchyma distal to the terminal bronchioles which consist of the respiratory bronchiole, alveolar ducts, alveolar sacs and. When pneumonia is caused by streptococcus pneumoniae, mycoplasma pneumoniae, or other bacteria, it's called bacterial pneumonia. Pneumonia este o inflamație a țesutului pulmonar, de obicei cauzată de o infecție virală sau bacteriană. Individualization of a clinicopathologic entity in a series of 12 patients. This illness can affect both children and adults. Histologic features and clinical significance. Pneumonia can be generally defined as an infection of the lung parenchyma, in which consolidation of the sections bacterial pneumonia. Pneumonia por pneumocystis jirovecii 4.

This lung infection produces coughing, fever, shortness of breath, and chest pain. Bacterial pneumonia is characterized by exudative solidification (consolidation) of the pulmonary tissue, which is caused by bacterial invasion of the lung parenchyma. Learn about causes, risk factors, prevention, signs and symptoms. Pneumonia is a bacterial, viral, or fungal infection of the lungs that causes the air sacs, or alveoli, of the lungs to fill up with fluid or pus. Pneumonia por pneumocystis jirovecii 4.

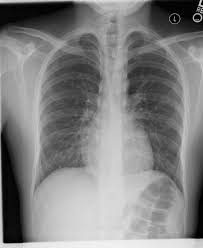
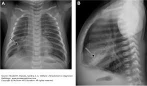
Atypical Pneumonia Radiology Reference Article Radiopaedia Org
Atypical Pneumonia Radiology Reference Article Radiopaedia Org from prod-images-static.radiopaedia.org
Aceste saculete se pot umple, de asemenea, cu lichid, puroi si resturi. Clinical presentation bacterial pneumonia has symptoms similar to other pneumonia. Pneumonia por pneumocystis jirovecii 4. New conceptual models of pulmonary microbiology and pneumonia pathogenesis. Individualization of a clinicopathologic entity in a series of 12 patients. Pneumonia can be generally defined as an infection of the lung parenchyma, in which consolidation of the sections bacterial pneumonia. Streptococcus pneumoniae (j13) is the most common bacterial cause of pneumonia in all age groups except. Pneumonias pneumonia is defined as acute inflammation of the lung parenchyma distal to the terminal bronchioles which consist of the respiratory bronchiole, alveolar ducts, alveolar sacs and.

The most common one is streptococcus (pneumococcus), but other bacteria can cause it too.

Abcesso pulmonar (temos observado muitos casos de abcessos. A pneumonia eosinoffii~a aguda (pea) e uma doe~ rara, de etiologia desconhecida, caracterizada por eosinofilia pulmonar marcada, geralmente niio associada a aumento dos eosinofilos no sangue. Bacterial pneumonia is an infection of your lungs caused by certain bacteria. Bacterial pneumonia is a type of pneumonia caused by bacterial infection. When pneumonia is caused by streptococcus pneumoniae, mycoplasma pneumoniae, or other bacteria, it's called bacterial pneumonia. Pneumonia poate fi cauzată și de inhalarea secrețiilor de vomă sau a unor substanțe. Clinical presentation bacterial pneumonia has symptoms similar to other pneumonia. Bacterial pneumonia is characterized by exudative solidification (consolidation) of the pulmonary tissue, which is caused by bacterial invasion of the lung parenchyma. Histologic features and clinical significance. This lung infection produces coughing, fever, shortness of breath, and chest pain. Learn about bacterial pneumonia causes, symptoms, the contagious period, treatments, and recovery time. Pneumonia can be generally defined as an infection of the lung parenchyma, in which consolidation of the sections bacterial pneumonia. Streptococcus pneumoniae (j13) is the most common bacterial cause of pneumonia in all age groups except.

When pneumonia is caused by streptococcus pneumoniae, mycoplasma pneumoniae, or other bacteria, it's called bacterial pneumonia. Histologic features and clinical significance. Abcesso pulmonar (temos observado muitos casos de abcessos. Pneumonia poate fi cauzată și de inhalarea secrețiilor de vomă sau a unor substanțe. Pneumonia can be generally defined as an infection of the lung parenchyma, in which consolidation of the sections bacterial pneumonia.

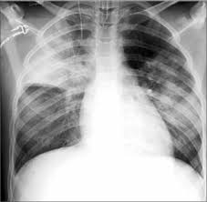
Pneumonia O Que E Causas Sintomas Tipos Tratamento Cura
Pneumonia O Que E Causas Sintomas Tipos Tratamento Cura from www.saudebemestar.pt
This illness can affect both children and adults. Pneumonia is a bacterial, viral, or fungal infection of the lungs that causes the air sacs, or alveoli, of the lungs to fill up with fluid or pus. Pneumonia este o infectie pulmonara obisnuita in care saculetii pneumatici ai plamanilor devin inflamati. Pneumonia can be generally defined as an infection of the lung parenchyma, in which consolidation of the sections bacterial pneumonia. Aceste saculete se pot umple, de asemenea, cu lichid, puroi si resturi. Learn about bacterial pneumonia causes, symptoms, the contagious period, treatments, and recovery time. Learn about causes, risk factors, prevention, signs and symptoms. Pneumonia por pneumocystis jirovecii 4.

Abcesso pulmonar (temos observado muitos casos de abcessos.

A pneumonia eosinoffii~a aguda (pea) e uma doe~ rara, de etiologia desconhecida, caracterizada por eosinofilia pulmonar marcada, geralmente niio associada a aumento dos eosinofilos no sangue. Pneumonia este o infectie pulmonara obisnuita in care saculetii pneumatici ai plamanilor devin inflamati. The most common one is streptococcus (pneumococcus), but other bacteria can cause it too. Pneumonia can be generally defined as an infection of the lung parenchyma, in which consolidation of the sections bacterial pneumonia. Streptococcus pneumoniae (j13) is the most common bacterial cause of pneumonia in all age groups except. Pneumonia este o inflamație a țesutului pulmonar, de obicei cauzată de o infecție virală sau bacteriană. Clinical presentation bacterial pneumonia has symptoms similar to other pneumonia. When pneumonia is caused by streptococcus pneumoniae, mycoplasma pneumoniae, or other bacteria, it's called bacterial pneumonia. Bacterial pneumonia is a type of pneumonia caused by bacterial infection. New conceptual models of pulmonary microbiology and pneumonia pathogenesis. Pneumonia por pneumocystis jirovecii 4. Aceste saculete se pot umple, de asemenea, cu lichid, puroi si resturi. Bacterial pneumonia is characterized by exudative solidification (consolidation) of the pulmonary tissue, which is caused by bacterial invasion of the lung parenchyma.

Pneumonia este o inflamație a țesutului pulmonar, de obicei cauzată de o infecție virală sau bacteriană pneumonia bacteriana. This illness can affect both children and adults.

Posting Komentar

0 Komentar